新闻中心
首页 > 新闻中心 > 医院新闻 > 正文
微创,我们在路上
来源: 发布时间:2014-09-24 10:55点击数:

            ---井冈山大学附属医院胸外科微创发展纪实

    2014年8月1日,江西省卫生和计划生育委员会批准井冈山大学附属医院胸心血管外科为全省首批及吉安市唯一一家同时具有三级、四级胸外科内镜(胸腔镜等)诊疗技术资质科室。

    好风凭借力,扬帆正当时。21世纪是一个大数据时代,现代医学科技发展明显加快,医学科技的一颗明珠——微创技术及其衍生的精准医学应运而生。在此背景下,我院胸心血管外科紧跟时代步伐,以腔镜和介入技术为突破口,顺应胸部肿瘤多学科交叉治疗潮流,以服务患者为中心,全力提高自身素质,在多个方面有所建树,成绩斐然。

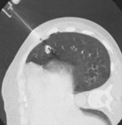
(一)经皮肺穿刺活检术:一叶而知秋

    经皮肺穿刺活检为微创诊断肺部疾病的一种方法。许多纤维支气管镜未能取得病理诊断的患者在我科利用经皮肺穿刺活检术得到确诊,弥补了纤支镜的不足,为患者的进一步科学合理治疗提供了支撑。其适应证为:1、肺内结节、纵隔肿块;2、胸壁或胸膜的肿块;3、局灶或多发的肺内突变,感染菌种不明;4、不能手术,但须确定病理类型的肺内恶性病变者。

  

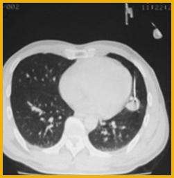
(二)血管造影:明足以察秋毫之末

    我院拥有吉安市唯一一台64排128层CT,可进行CT骨三维重建、CT血管造影等。同时拥有DSA血管造影设备(大C臂及中C臂等),为我院开展深静脉造影、内脏血管造影及治疗等奠定了基础。

  

(三)全胸腔镜下肺癌根治术:为患举良招

      我院拥有史托斯及奥林巴斯等一流腔镜成像设备,并引进了数套精良胸外科手术器械,使我们的胸腔镜手术开展具备了优越条件。我科在掌握胸腔镜辅助肺叶切除技术基础上,成功完成全胸腔镜下肺叶切除+系统淋巴结清扫术。与传统开胸手术相比较,胸腔镜手术具有伤口小、无需切断胸背肌肉、不需撑开肋骨、手术麻醉时间短、住院时间短、疼痛减轻、康复快、花费少等显著优点。

(四)血管疾病介入治疗:一桥飞架南北,天堑变通途

    我科已常规开展外周血管介入手术,如对具有高危肺栓塞风险的下肢深静脉血栓形成病人,行下腔静脉滤器置入+置管溶栓术,治疗完成后行下腔静脉滤器取出,对下肢动脉缺血病人行球囊扩张+支架置入术,取得了良好的效果并积累了丰富的临床经验。

   npo0000bb

(五)胸部肿瘤多学科综合治疗:他山之石,可以攻玉

     我科对胸部肿瘤如肺癌、食管癌、乳腺癌等开展了以手术、立体定向放疗、化疗(含新辅助化疗及术后化疗)、靶向治疗、调节免疫等五位一体的综合治疗。尤其是开展了非小细胞肺癌EGFR基因检测、乳腺癌HER-2免疫组织化学检测及靶向治疗,以小创伤给给患者带来大好处。例如,在肺癌治疗上,利用低剂量CT在微小结节型肺癌诊断基础上,采用胸腔镜手术,使患者达到微创、高效诊治。在常规化疗一、二线化疗的同时紧跟国际指南,采用小分子表皮生长因子受体(EGFR)酪氨酸激酶抑制剂,如吉非替尼(Gefitinib,Iressa,易瑞沙)、厄洛替尼(Erlotinib,Tarceva,特罗凯)对EGFR突变阳性患者进行靶向治疗,大大提高了患者远期生存率及生活质量。在乳腺癌治疗上,我科积极开展乳腺癌前哨淋巴结活检、保乳手术、乳房再造术等,同时根据患者情况,采用规范化疗、内分泌治疗及靶向治疗,取得了不凡的成绩。

    放眼前行路,胸中有乾坤。微创在胸心血管外科方兴未艾,也是大势所趋,潮流所向。我院胸外科的医护人员将顺应时代的召唤,精医精技,不断提高临床技能水平,为患者提供安全、高效、低耗、满意的服务,为我市广大患者的健康保驾护航。微创,我们在路上。

 

井冈山大学附属医院2009-2017®版权所有   赣ICP备14006013号-1   卫生厅审核编号:赣卫网审〔2014〕