近日,我院介入血管外科团队应用经皮选择性动脉造影+栓塞止血技术成功救治了一位上消化道大出血的病人。
46岁的女性病人,半月来反复出现上腹部疼痛,未重视,入院2天前出现解黑便,伴有头晕等症状,胃镜检查见十二指肠球部溃疡并活动性出血。入院查血色素较正常值下降一半。入院时再发一次大量呕血,血压低,考虑失血性休克,经多科室会诊后决定行介入栓塞止血术。

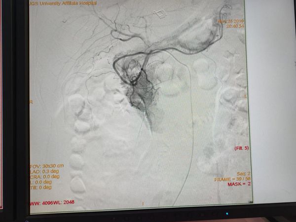
术中造影见胃十二指肠动脉末梢造影剂浓聚。明确责任血管。

栓塞后造影见责任血管栓塞良好

术后病人呕血即停止,住院七天康复出院。
经皮选择性动脉造影+栓塞止血技术是一项微创介入的技术,大部分病人不用全麻,不用开刀,只要一个针眼就能达到止血目的。被广大病人接受。
消化道大出血的病人,往往出血情况危急、病情复杂,经内科保守治疗或外科手术治疗后仍可能出现反复出血。这类病人不仅可以内镜下止血治疗,也可以借助介入血管造影进行诊断以明确责任血管,在此基础上可行选择性动脉栓塞止血术。