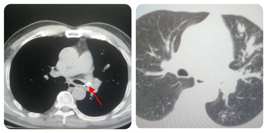
近日,井冈山大学附属医院呼吸与危重症医学科收治了一位“反复咳嗽咳痰3年”的63岁男性患者。近3年来该患者反复咳嗽咳痰,多次前往医院就诊,经抗炎等治疗有所好转,但反复发作。这次来医院就诊,行胸部CT检查示:左肺上叶阻塞性肺炎,不能排除恶性肿瘤的可能,故收至我科住院,入院后给予积极抗感染、化痰等治疗,但治疗效果不佳经。呼吸与危重症医学科主任高雪萍、古群英副主任医师、主治医师肖越、李发平重新对该患者病情进行梳理,共同讨论研判后,考虑可能为气道异物。

气道异物 左侧阻塞性肺炎

6月19日上午,在我院呼吸内镜中心,高雪萍主任医师指导,麻醉科医师欧阳宏良和李发平主治医师大力配合支持下,由呼吸与危重症医学科肖越主治医师、康云护士长相互协作,为患者行电子支气管镜检查,检查中发现该患者左主支气管远端见一疑似动物骨性异物嵌顿于左上叶及左下叶支气管开口,原来这才是导致患者反复咳嗽咳痰的“元凶”。因异物周围大量肉芽组织增生,触之易出血,增加了异物取出的难度。最终在医护、医技密切配合下用异物钳将扁状骨性异物取出,全程历经10余分钟。术后患者表示呼吸顺畅,咳嗽明显减轻。患者疑惑道,这块骨头怎么跑到气管里的?回想3年前,因进食时出现呛咳,当时没有明显呼吸困难等感觉,未引起重视,这才导致自己这么多年的困惑。

取出的异物
这次气道异物取出术是在无痛支气管镜下实施的,不仅保证了病人手术安全性和舒适感,也展现了医院呼吸与危重症医学科医护人员的气管镜操作水平及疑难危重患者的综合救治能力。(文图:肖越 审核:高雪萍 周臻 彭晓露)