何为3D ASL脑血流灌注成像技术?以往常规灌注成像技术需要注射造影剂,比如CTP、PWI,而现如今的3D ASL 是指不使用造影剂的磁共振灌注成像的应用。它具有成像速度快、避免造影剂过敏、快速评价脑梗死和肿瘤患者灌注情况等特点,为临床进一步诊断提供了有力的证据,
2023年6月初,在井冈山大学附属医院影像中心张海平主任的带领下,科室成功完成一例3D ASL的检查,并出具完整报告。
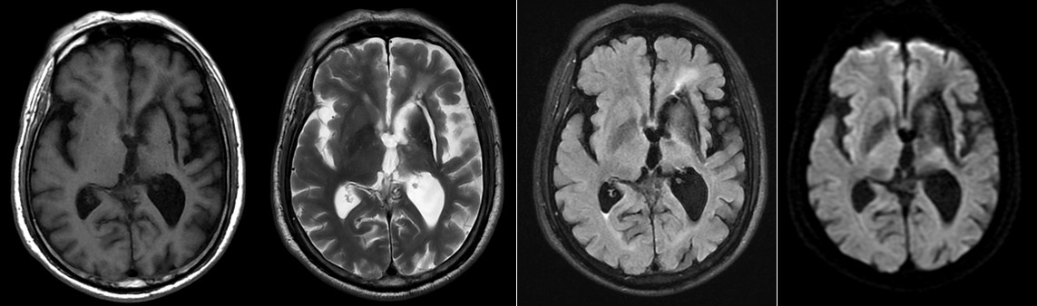
病例1 男,72y,既往脑梗病史,早晨突发双侧肢体无力,来院进行头颅MRI平扫+DWI检查,排查是否有新发脑梗。图像如下:


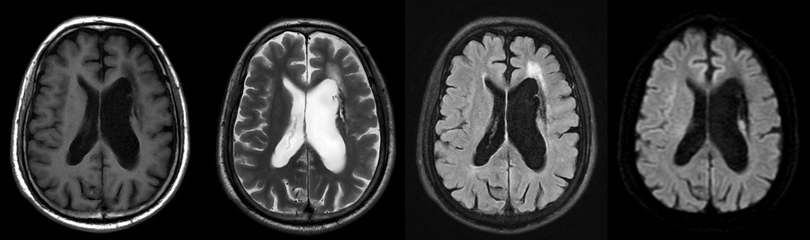
完成头颅常规检查后,看到左侧基底节区的软化灶,没有发现新发病灶,加做了头颅常规血管成像(3D-TOF MRA)。如下:


患者头颅MRA显示右侧颈内动脉及大脑中动脉完全闭塞,左侧颈内动脉狭窄,大脑中动脉未显影。立即往下扫描了颈部 MRA,颈部MRA显示右侧颈内动脉闭塞(绿箭),并在右侧颈外动脉多出了一个分支延伸至颅内(红箭),左侧颈内管腔狭窄(黄箭)。如此大面积的血管未显影,DWI上却未见新发病灶,病因是什么呢?
大部分影像科可能这时都会让患者回科室,把疑问留给临床医生琢磨了。但我院影像中心本着精准医学,精准影像先行的宗旨,不折腾患者来回跑,尽量一次折腾明白,继续扫描不打药灌注3D ASL:

3D ASL PLD=1.5s显示双侧大脑灌注相对减低,PLD=2.5s双侧大脑灌注恢复,说明存在灌注代偿,且右侧顶枕叶呈现高灌。
3D ASL为我们解答了为何患者血管大面积不显影,DWI上没有新发病灶,综合PLD=1.5s和2.5s来看患者虽然双侧大脑中动脉和大脑前动脉闭塞,但有灌注代偿,并未影响大脑供血;右侧顶枕叶呈现高灌,也印证了在TOF MRA上看到的右侧枕叶粗大的侧枝血管有代偿供血。到这一步基本解答我们的疑问,或许我们还需要一些直接的征象来证明我们的判断。SilenZ MRA(静音血管)也许能让我们看到更多的信息:

大范围基于3D ASL和ZTE的SilenZ MRA显示右侧颈外出现一支大的侧枝血管,供应右侧大脑,左侧颈内颅内段末端出现小的侧枝血管,且能看到Willis环周围许多细小的血管。
结合前面3D ASL和SilenZ MRA的征象,能想到烟雾病了,后询问得知患者有烟雾病家族史,遂入院进行相应治疗。
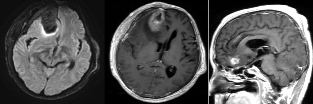
病例2 男,45y,胶质瘤术后3天
胶质瘤术后复查的检查,在临床中再常见不过,常规扫描方案头颅平扫+增强,目前只有部分医院会结合其他技术,例如灌注去综合评估患者术后情况。这次我们遇到了一例胶质瘤术后患者,申请单为头颅平扫+增强,图像如下:


T1上右侧额叶高信号,提示有出血,增强病灶强化,肿瘤未切除干净?
增强反映的是血脑屏障是否完整,患者做了手术,血脑屏障肯定是被破坏了,这时无法分辨是残余的肿瘤强化还是术后损伤。灌注可能给出答案,灌注反映的是组织的微血管分布和灌注情况,若有残余的肿瘤,则表现为灌注升高,正好我们在增强前做了不打药灌注3D ASL:

3D ASL显示病灶区低灌注,提示强化区为术后损伤,并不是残存的肿瘤。


总结:3D ASL不仅可以快速地评估脑梗死和脑肿瘤的灌注情况,还可以评估肿瘤术后是否切除干净,为临床进一步诊断提供了有利证据,也为患者带来了福音。追本溯源寻找病因,助力精准影像,你我同行。(文图:张海平 王庭雄 审核:张海平 周臻 彭晓露)