2024年03月01日,井冈山大学附属医院心血管内科介入团队应用目前国内最新的心腔内超声(ICE)技术,为一位持续性房颤患者成功开展心腔内超声指导下射频消融手术,据了解,这是吉安市第一例由ICE指导下完成的房颤消融手术。


▲刘旭阳副院长、陈仁华博士为患者实施ICE指导下房颤射频消融术
患者中年男性,因反复心慌、胸闷1年余入院,曾多次在外院就诊,诊断持续性心房颤动,建议行房颤射频消融术,患者因担心手术风险,一直犹豫未行手术治疗。近几月来患者体力逐渐下降,上楼或快步行走时即感心慌、胸闷、气短不适,为行诊治到我院心血管内科就诊。
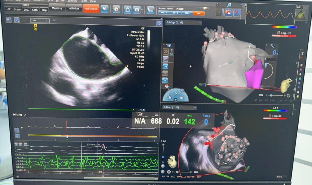
心内科介入团队经过充分讨论和病情分析,决定采用ICE指导下房颤射频消融术,术中进行的房间隔穿刺、左心房建模、导管射频消融等操作均在ICE引导下完成,手术过程顺利,术后患者恢复窦性心律,手术全程极低射线,做到真正的安全绿色电生理。
此次ICE新技术的运用,标志着我院心血管内科的心律失常介入诊疗技术再上新台阶。
运用三维系统和ICE完美结合,不仅可以实时监测导管与心肌的贴靠,还能够很好地显示心脏内特殊解剖结构,ICE在心脏介入治疗和电生理检查中具有良好的应用前景,在ICE指导下可以实现零射线或极低射线量的房颤血栓筛查、导管放置、房间隔穿刺及消融等一系列的操作,还可以在左心耳封堵、一站式手术、房缺、肥厚性心肌病等多领域有极好的运用,为患者带来更高效、更安全、更绿色的手术体验。(文图:叶才盛 审核:颜程光 周臻 彭晓露)