近日,我院消化内科成功独立开展首例ERCP(经内镜逆行性胰胆管造影)取石术,使胆总管结石患者免受开刀之痛。该项新技术的独立开展填补了我院ERCP治疗胰胆疾病的空白,标志着我院内镜微创技术再上一个新台阶。

51岁男性患者谢某,因反复中上腹疼痛5年,再发加重9天入我院普外科住院治疗。行上腹部MRI及MRCP检查提示:胆总管下段结石,胆总管结石伴胆管炎,胆囊结石伴胆囊炎。如不及时去除胆总管结石,很有可能诱发急性梗阻性胆管炎、急性胰腺炎等并发症,甚至危及生命。

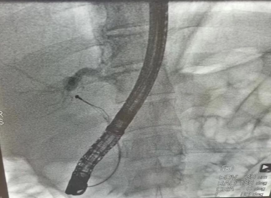
消化内科邱春雷主任与陈敬成副主任医师会诊后,与普外科张旭华主任、黄无浪主治医师及患者家属协商决定:为患者实行局麻内镜下逆行胰胆管造影(ERCP)+十二指肠乳头肌切开(EST)取石术+鼻胆管引流术(ENBD)。患者手术顺利,术中胆总管可见多个直径约0.6cm结石及胆泥,解除了胆总管梗阻,术后患者康复良好,腹痛、腹胀等症状缓解。
专家解说:ERCP作为一项高新技术,属国家四级手术范畴,是内镜专家公认的技术难度高、操作复杂的内镜技术,被誉为内镜技术“皇冠上的明珠”。(文图:陈敬成 审核:邱春雷 周臻 彭晓露)