在CT扫描的日常工作中,假牙、颅内动脉瘤弹簧圈、胸部心脏起搏器、人工关节、金属内固定,各种支架都是常常遇到造成金属伪影的原因,这些金属伪影大大降低诊断的准确性,那这些金属伪影该如何解决呢?
1、双能量扫描虚拟单能谱重建
常规的CT球管发出的是不同能量的X线光子,X线光子衰减值高的金属骨质等会吸收多的低能X线光子,高能量的光子穿透过去,这种不成比例的吸收特性会形成金属伪影及线束硬化伪影,一般相对低原子序数金属制成的小型植入物造成线束硬化伪影,如钛血管夹。如果是单一能量的光子就可以减轻或消除这些伪影,可是目前的技术还没有造出只能够输出单一能量的X线球管,但是通过双能量扫描,可以虚拟计算出某一物质在各个单能量下的CT值,这样就可以生成虚拟的单能谱图像。
2、金属去伪影迭代算法-iMAR
西门子新一代的金属去伪影迭代算法——iMAR(iterative Metal Artifact Reduction)目前双源Force搭载了此技术,iMAR是通过射线束硬化矫正、线性内插值以及自适应正弦图修复和分频去金属伪影等多种迭代计算,可以明显减少图像中的条状伪影,并同时校正受影响的组织CT值,使之更接近于无金属情况下的真实值。iMAR主要应用在光子饥饿效应引起的伪影,饥饿效应原因是X射线束穿过金属物质后光子衰减,使得到达探测器的光子数不足,这种情况为饥饿效应。高原子序数金属和大量金属物质存在时导致饥饿效应形成,如金属髋关节置换。
井冈山大学附属医院影像中心双源FOCE能提供40-190kev共151个不同等级的单能图像,常规的混合能量图像均有明显的金属伪影,通过不同等级的单能量图像重建时,可明显消除或降低金属移植物的硬化伪影,以下是我院在各个不同部位去金属的应用实例:
病例一:口腔修复术后,口底肿瘤切除术+钛板置入术后

钛板金属伪影基本消失,金属周围组织显示清楚
病例二:颈内动脉瘤介入术后

B图为普通扫描,金属伪影较重;C图为单能重建后图像,金属伪影降低。
病例三:在四肢关节中应用



可以看到,在肘关节、髋关节、膝关节置换术中,应用单能重建图像伪影降低,金属植入物与周边组织关系清晰。
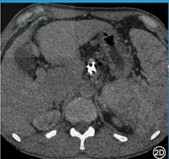
病例四:TIPS+食管胃底静脉栓塞术


2A图示:普通增强扫描,腹主动脉强化明显,金属伪影较重,2B图示:采用100kev单能量重建,发现金属伪影下降,但是碘剂浓度也下降了,这严重影响我们增强图像的强化效果,那该怎么办呢?我们知道随着单能能级的升高,电压也会增加,随着电压的升高,会导致增强时碘剂浓度的下降,所以不能一味地提高能级来抑制线束硬化伪影,这样一定会导致增强碘浓度下降,这个时候就可以运用单能+迭代算法-iMAR的组合来处理。


2C图示:利用单能80kev+iMAR算法组合来处理,这样既降低了金属伪影又保留了碘剂的浓度;2D图示:采用单能120kev来单独处理,发现金属伪影下降了,但是血管里的碘剂基本没有了,类似一个平扫了,这也再次佐证了随着电压的升高,增强的碘剂浓度会下降,而利用单能+迭代算法可有效地解决这一问题。

张海平主任带领科室人员后处理
在目前,有超过20%的患者在CT检查中带有金属植入物,这些金属物会在CT图像中产生严重的伪影,影响诊断且甚至可能导致临床漏诊误诊,双能量虚拟单能谱重建+迭代算法iMAR能有效地消除伪影,在增强的时候还能保证碘剂的浓度不受影响,进一步提高了金属置入物患者的检查精度。(文图:王庭雄 审核:张海平 周臻 彭晓露)