囊肿穿刺硬化治疗术就是通过超声实时引导下,用一根细细的针“瞄准”囊肿进行穿刺,先抽出囊肿内的囊液后,然后用生理盐水反复冲洗,再向囊腔内注入硬化剂(如聚桂醇等),以破坏囊肿内壁的细胞,让它不再分泌囊液,从而使囊肿缩小,闭合,逐步吸收并消失。
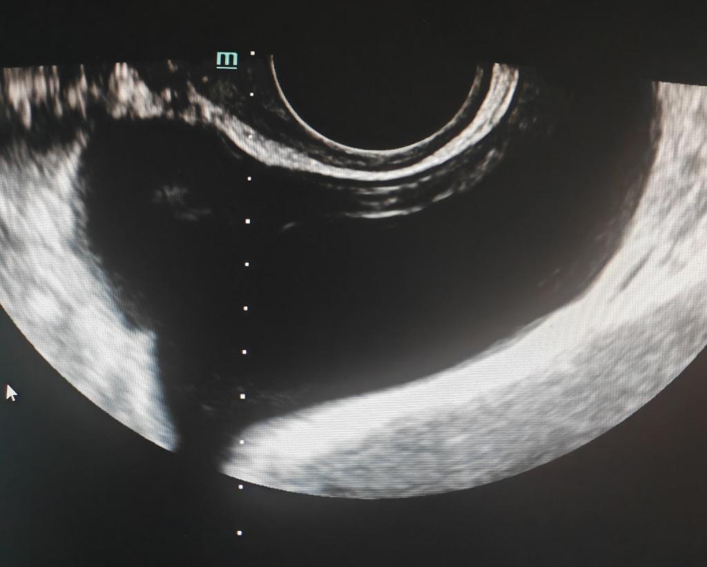
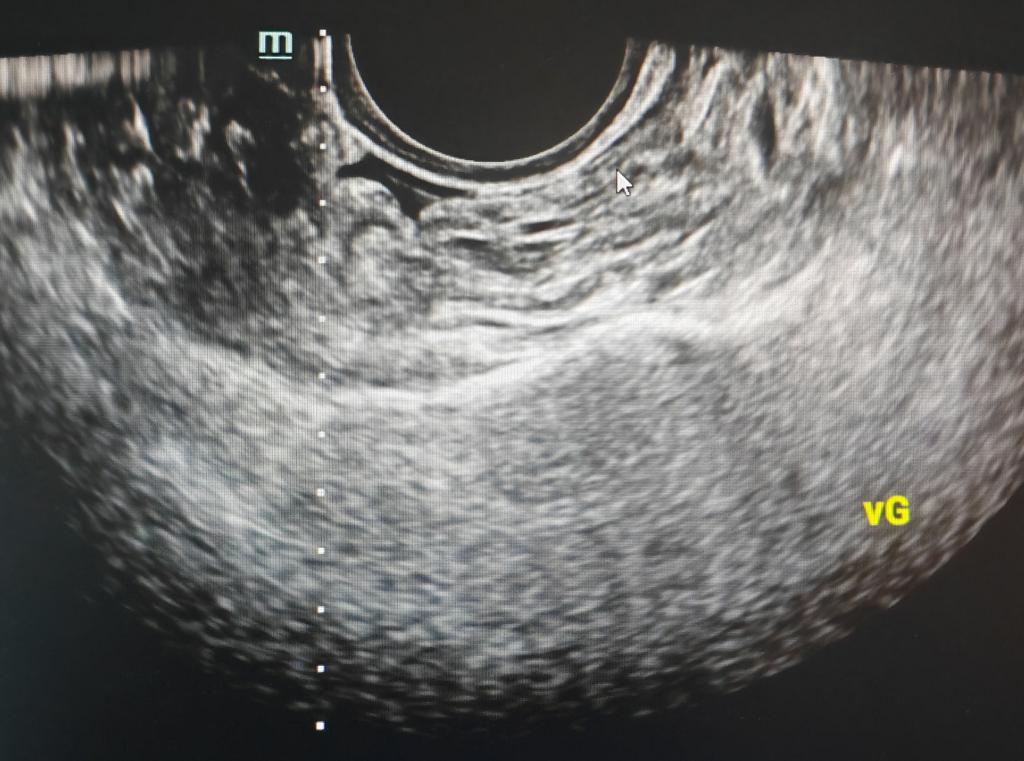
44岁女性,发现右侧附件囊肿数月,近期出现右脚麻木,既往有附件囊肿腹腔镜手术史,现复发不愿再次手术,于是到我科行穿刺硬化治疗。术前彩超、磁共振检查了解囊肿大小(68.5*43.5mm)、形态及位置毗邻,确定穿刺所需体位以及进针方向、深度,局部消毒后,在超声实时引导下,沿穿刺线精准刺入囊腔,用注射器共抽出90ml液体,蛋白定性试验阳性,冲洗干净后注入硬化剂,超声显示囊腔基本消失,术后盆腔无出血,双脚麻木立刻消失,体表无瘢痕,仅见一针眼。

▲术前评估

▲术中实时引导,针尖位于囊肿中

▲术后囊肿消失
囊肿穿刺硬化治疗术是近年来开展的一种微创治疗方法,安全、临床疗效好、创伤小、无疤痕、费用低、可重复、无需住院、手术时间短,已在临床得到广泛应用。我院B超室已全面开展此技术,并得到临床医生及患者的一致好评。
囊肿穿刺硬化治疗在囊肿疾病中的适应症
1. 体表囊肿:单纯性及出血性甲状腺囊肿、腱鞘囊肿、腘窝囊肿、甲状舌骨囊肿、皮脂腺囊肿;
2. 体内囊肿:肝囊肿、肾囊肿、脾囊肿;
3. 妇科囊肿:单纯性卵巢囊肿、巧克力囊肿。
腹部囊肿穿刺硬化治疗的禁忌症
1. 有严重出血倾向,凝血机制障碍者;
2. 囊肿与胆道、肾盂有交通者;
3. 无安全路径;
4. 患者不能配合介入治疗者;
5. 聚桂醇、酒精过敏者。
B超室自开展超声介入以来,共完成各类介入操作300多例,包括:甲状腺、乳腺穿刺活检;体表包块及淋巴结穿刺活检;经皮肝胆囊穿刺;经皮肝胆管穿刺;经皮肝脓肿穿刺;腹腔、胸腔积液穿刺;腹部囊肿穿刺硬化治疗等。得到临床医生及患者的一致好评。
井冈山大学附属医院超声介入团队也将不忘初心,奋发图强,精益求精,为广大患者提供更加优质、安全的医疗服务。(文图:刘秀娟 审核:廖丽娟 周臻 彭晓露)